NOVEDADES
Miscelánea
Concierto de homenaje a Óscar Avilés será accesible para personas sordas
- por DIARIO VIRAL
- 23 de marzo de 2024
Economía
Inversiones mineras en Perú alcanzan los $284 millones en enero
- por DIARIO VIRAL
- 23 de marzo de 2024
Internacional
Rusia: Tiroteo en una sala de conciertos deja al menos 93 muertos
- por DIARIO VIRAL
- 23 de marzo de 2024
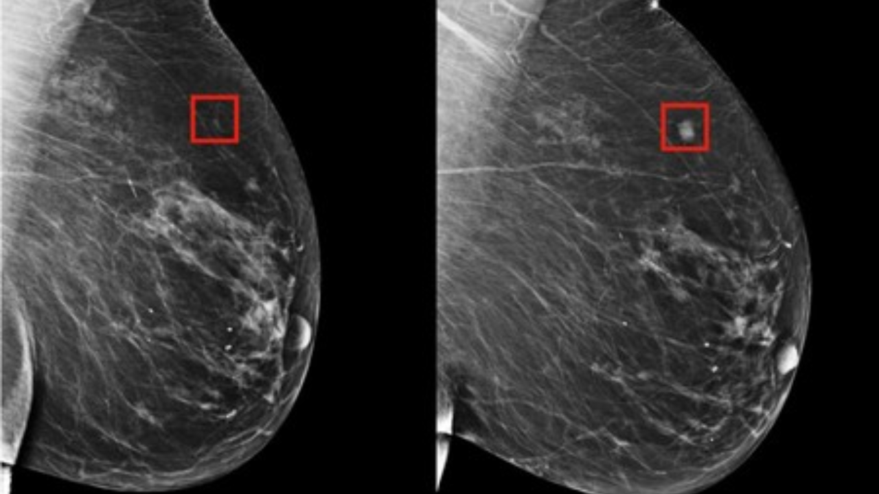
Tecnología
Herramienta de inteligencia artificial puede detectar el cáncer de seno en mujeres
- por DIARIO VIRAL
- 23 de marzo de 2024
Tecnología
Apple es demandado por monopolizar el mercado de celulares inteligentes
- por DIARIO VIRAL
- 23 de marzo de 2024
Internacional
Princesa de Gales anuncia al mundo que tiene cáncer
- por DIARIO VIRAL
- 22 de marzo de 2024
Cultura
Ministerio de Cultura autoriza aumento de aforo en Machu Picchu para Semana Santa
- por DIARIO VIRAL
- 22 de marzo de 2024
NUESTRAS REDES
LAS MÁS LEÍDAS
Perú
Muerte de Manolo Rojas alerta sobre riesgos del infarto y la importancia de la prevención
29 de marzo de 2026 12:09
Política
Marisol Pérez Tello responde por caso Odebrecht y arremete contra Katherine Ampuero
30 de marzo de 2026 10:41
Política